
Before

After
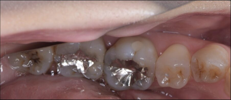
| 治療内容 | 根管治療 セラミッククラウン |
|---|---|
| 治療期間・治療回数 | 4回 |
| 治療費用 | 148500円(税込) |
| リスク・副作用 | |
| 備考 | 30代 女性 |
レントゲンで虫歯が確認できた。

根管治療を行い、セラミッククラウンSET。


患者様一人ひとりの口腔内の状態やライフスタイル、ご希望を丁寧に伺い、最適な治療計画をご提案します。見た目の美しさだけでなく、長期的な健康維持を見据えた、患者様に寄り添う治療を心がけています。


当院では、専門的な技術と豊富な経験に基づき、精密な診断と安全性の高いインプラント手術を徹底しています。治療後のメンテナンスにも力を入れ、生涯を見据えた、長期的な安定と快適な生活をサポートします。

当院では、患者様に安全で質の高い歯科医療を提供するため、様々な医療機器を積極的に導入しています。精密な診断を可能にする歯科用CTや、肉眼では確認できない細部まで捉える拡大鏡など、充実した設備環境を整えています。
これらの先進機器を活用することで、より正確で精密な治療を実現し、患者様の負担軽減と治療の質向上に努めています。




Before

After
| 治療内容 | 根管治療 セラミッククラウン |
|---|---|
| 治療期間・治療回数 | 4回 |
| 治療費用 | 148500円(税込) |
| リスク・副作用 | |
| 備考 | 30代 女性 |
レントゲンで虫歯が確認できた。

根管治療を行い、セラミッククラウンSET。


「歯科医療を通じて患者様のQOL向上に貢献したい」という強い想いのもと、日々診療にあたっています。噛めなかった方が再び何でも噛めるようになり、笑顔を取り戻す瞬間が、私の最大の喜びです。
患者様一人ひとりに寄り添い、丁寧なカウンセリングと最適な治療計画で、皆様の健康と幸せをサポートいたします。

